2026년 03월 21일(토)

중국 연구진 "3분 만에 골절 치료할 수 있는 '뼈 접착제' 개발했다"

중국 연구진의 혁신적인 뼈 접착제 'Bone-02'


골절 치료의 패러다임을 바꿀 혁신적인 기술이 중국에서 개발됐다는 소식이 전해졌습니다.


지난달 16일 중국 현지 매체에 따르면 항저우 저장대학교 연구진이 개발한 '본-02(Bone-02)'라는 뼈 접착제는 기존에 몇 달이 걸리던 골절 치료를 단 몇 분 만에 가능하게 한다고 주장해 의료계의 주목을 받고 있습니다.


골절은 많은 사람들이 경험하는 고통스러운 부상인데요. 일반적으로 골절 치료는 석고붕대 고정이나 금속판 삽입 수술 등의 방법을 사용하며, 완전한 회복까지 수개월이 소요됩니다.


하지만 '본-02' 접착제는 이러한 전통적인 치료 방식에 혁명을 가져올 잠재력을 지니고 있다고 합니다.


인사이트CCTV


자연에서 얻은 영감


흥미롭게도 이 혁신적인 접착제의 개발 영감은 평범한 굴에서 왔습니다.


연구진은 습하고 염분이 많으며 끊임없이 움직이는 해양 환경에서도 강한 부착력을 유지하는 해양 연체동물의 능력에 주목했는데요.


이 생물들은 특수한 바이오 접착제를 사용해 수중 표면에 단단히 부착하는데, 이러한 자연의 메커니즘이 '본-02' 개발의 토대가 되었습니다.


인사이트연구진이 '본-02'로 골절을 치료한 모습 / CCTV


항저우 런런쇼 병원의 정형외과 부주임 린셴펑 박사에 따르면, 이 접착제는 단 한 번의 주사로 "부러진 뼛조각을 3분 만에 붙인다"고 합니다.


린 박사는 혈액이 많은 환경(출혈이 많이 나는 상황 또는 혈관이 밀집된 곳)에서도 2~3분 이내에 정밀한 고정이 가능하다"라고 설명했습니다.


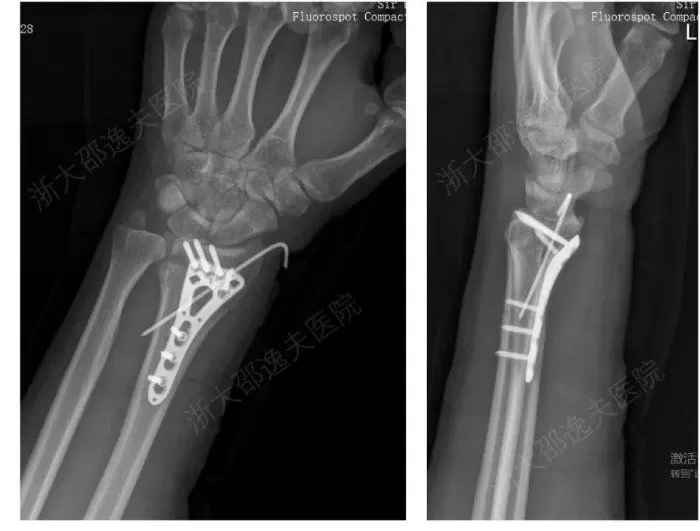
실제 임상 사례에서는 손목 골절 환자에게 3cm 정도의 작은 절개만으로 접착제를 주입한 후 3분 만에 골절 부위가 고정됐습니다.


기존 치료법이었다면 이 환자는 금속판과 나사를 이용한 수술을 받고, 나사를 제거하기 위해 다음 해에 추가 수술을 받아야 하지만, '본-02'를 사용한 후 3개월간의 추적 관찰 결과 환자의 골절은 합병증 없이 완전히 회복된 것으로 나타났습니다.


인사이트기존 금속 임플란트로 골절을 치료하는 모습 / CCTV


연구진에 따르면 이 접착제는 이미 150건 이상의 임상 시험에서 성공적으로 사용되었다고 합니다.


실험실 테스트 결과, '본-02'는 안전성과 효능 면에서 모두 우수한 성능을 보였는데요. 최대 접착력은 180kg을 넘으며, 전단 강도는 약 0.5메가파스칼(MPa), 압축 강도는 약 10MPa에 달하는 것으로 확인됐습니다.


이는 기존 금속 임플란트를 대체할 수 있는 가능성을 보여주는 수치로, 이물 반응이나 감염 위험도 줄일 수 있는 것으로 전해졌습니다.


'본-02'의 가장 큰 장점 중 하나는 인체에 자연적으로 흡수된다는 점입니다. 이는 접착제를 제거하기 위한 추가 수술이 필요 없음을 의미하며, 이로 인해 감염 위험도 크게 줄일 수 있습니다.